A osteocondrite dissecante (OCD) do joelho é uma causa relativamente comum de dor e limitação funcional em criança e adolescente.
Apenas R$ 37,90

Tipicamente, a doença ocorre no joelho de atletas mirins envolvidos em esportes competitivos, submetidos a treinamentos intensos.
Trata-se de uma doença adquirida em que o osso subcondral (osso abaixo da cartilagem)torna- se avascular, ou seja, perde o suprimento sanguíneo, desestabilizando a cobertura cartilaginosa e, se não ocorrer a reversão do processo (consolidação), o complexo osso-cartilagem, sujeito a forças de impacto e de cisalhamento do esporte, pode separar-se completamente do seu leito ósseo, determinando irregularidade articular e até a formação de corpos livres.
A osteocondrite dissecante do joelho pode ser subdividida em duas formas:
1. Osteocondrite dissecante juvenil (OCDJ) – ocorre em atletas mirins com a cartilagem de crescimento aberta.
2. Osteocondrite dissecante do adulto (OCDA) – ocorre em atletas mirins com a cartilagem de crescimento fechada.
Quando não respondem satisfatoriamente ao tratamento, ambas as formas apresentam tendência a sequelas tardias, inclusive a osteoartrose (OA).
Como a osteocondrite dissecante se apresenta?
A queixa básica é a dor e inchaço do joelho afetado que pode ser exacerbada pela atividade física. Sensações de estalidos e até bloqueios articulares podem ocorrer em casos de corpos livres articulares
O processo apresenta-se entre 13 e 21 anos e os sinais físicos podem estar relacionados com o local da lesão. A atrofia do músculo quadríceps (anterior da coxa) pode estar presente em casos sintomáticos de longa duração.
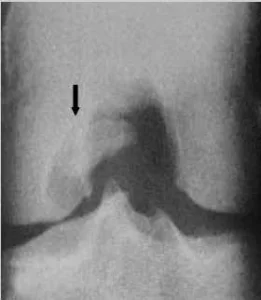
O local mais comumente afetado é a face posterolateral do côndilo femoral medial (75%) (figura 1), zona de carga (onde há transmissão de peso) dos côndilos femoral medial e lateral (20%) e superfície patelar (5%).

- Área da lesão tipica da osteocondrite dissecante
A OCD da patela é rara (5%) e predomina no sexo masculino. Os sintomas são indefinidos com dor difusa, agravada pelo apoio e flexão.
O inchaço durante ou após atividades excessivas e atrofia muscular precoce são sinais que podem ocorrer associados à crepitação retropatelar.
A tomografia computadorizada e a ressonância magnética são importantes para definir o local, a extensão e a viabilidade da lesão.
Diagnóstico da osteocondrite dissecante
Os exames radiográficos simples, tomografia computadorizada (TC) e ressonância magnética (RM) são os mais importantes. A cintilografia com tecnécio 99 pode ser utilizada, inclusive para avaliar a tendência à resolução do processo; entretanto, esta técnica é questionada pelo tempo de obtenção das imagens e pelo risco da administração do contraste.
Exame radiográfico da localização clássica da OCD na face posterolateral do côndilo femoral medial.

(A) Incidência anteroposterior.

(B) Incidência de perfil.

(C) Incidência posteroanterior (túnel).
Tratamento para osteocondrite dissecante
Repouso e muletas
O sucesso ocorre mais frequentemente antes do fechamento da cartilagem de crescimento. As lesões estáveis têm prognóstico melhor. As orientações incluem a medicação analgésica e anti-inflamatória, a redução da carga (muletas) e a utilização de imobilizador. A restrição total das atividades físicas pode determinar a resolução do processo em pacientes mais jovens.
A duração do tratamento conservador não está claramente estabelecida, mas provavelmente não deve ser prolongada além de seis meses, se não houver evidência de resolução clínica e por exames de imagem.
Tratamento cirúrgico
A cirurgia estará indicada nos casos em que o tratamento conservador falhar e para os casos de lesões instáveis ou deslocadas, em especial para a OCDA.
As opções cirúrgicas incluem: remoção simples do fragmento ou eventual corpo livre.

Figura A – Perfurações simples do osso subcondral (drilling)

Figura B – Implante autólogo de condrócitos

Figura C – Fixação do fragmento, autoenxerto osteocondral (mosaicoplastia)
Referências bibliográficas
1. Magnussen RA, Carey JL, Spindler KP. Does operative fixation of an osteochondritis dissecans loose body result in healing and long-term maintenance of knee function? Am J Sports Med. 2009;37(4):754-9.
2. Cahill BR. Osteochondritis dissecans of the knee: treatment of juvenile and adult forms. J Am Acad Orthop Surg. 1995;3(4):237-247.
3. Williams JS Jr, Bush-Joseph CA, Bach BR Jr. Osteochondritis dissecans of the knee. Am J Knee Surg. 1998;11(4):221-32.
4. Crawford DC, Safran MR. Osteochondritis dissecans of the knee. J Am Acad Orthop Surg. 4(3):123-33.
5. Fairbanks HAT. Osteochondritis dissecans. Br J Surg. 1933;21:67-82.
Importante: O conteúdo deste artigo é meramente informativo e não substitui uma consulta médica. Diagnósticos de lesões e opções de tratamento variam de pessoa para pessoa e dependem de fatores como sexo, idade, ocupação, etc, e portanto não devem ser generalizados. Consulte sempre seu médico. As informações deste site não devem ser utilizadas para auto-diagnóstico ou auto-tratamento.
Acesse nosso Canal no Youtube e Inscreva-se:










Olá. Meu filho tem 14 anos e está com osteocondrite no quadril.
Ola, Andrea.
Se quiser traze-lo para avaliação, será um prazer poder ajuda-los.
Como faço pra ter uma avaliação ,meu filho joga basquete e está com problemas na cartilagem diagnosticado por ressonância !!!!
Prontinho: https://adrianoleonardi.com.br/contato/
Boa noite. é possível o retorno ao esporte (vôlei, futebol) após transplante autólogo de cartilagem (mosaicoplastia)?
Sim
Desde que bem operado e bem reabilitado
Desde já agradeço pela atenção!
Dr. Adriano, vi um novo vídeo seu falando sobre a regeneração de cartilagem pela matriz de hidrogel de origem Austríaca. Pensando em osteocondrite de grau 3 ou 4, seria uma grande revolução no tratamento desta patologia pensando na prática esportiva de contato e mudanças de direção?
Sim.
Excelente indicação para esta doença