Joelho em varo e o joelho em valgo, são desalinhamentos ósseos com direções distintas, que podem predispor o paciente a doenças degenerativas, como a osteoartrite. Confira o que são e como é realizado o diagnóstico e tratamento destas condições.
Apenas R$ 37,90
ÍNDICE:
- Característica do alinhamento varo do joelho
- Características do alinhamento valgo do joelho
- Como é o tratamento do geno varo e valgo
- E o pós-operatorio
Você sabia que ter joelhos desalinhados aumenta o risco de desenvolver osteoartrite no joelho? Um joelho perfeitamente alinhado tem seu eixo de carga em uma linha que desce pelo meio da perna, passando pelo quadril, joelho e tornozelo.
Quando o joelho não está perfeitamente alinhado, também conhecido como desalinhado, é descrito como:

Basicamente, o joelho em varo e o joelho em valgo, são desalinhamentos ósseos com direções distintas. No caso do joelho varo, os joelhos são projetados para “fora”, de forma distal. É considerado um joelho varo, aquele em que a angulação, em relação ao ângulo Q, que leva em conta o quadril e tem mais de 180°.
No caso do joelho em valgo, o desvio é “para dentro”. Ou seja, os joelhos se aproximam, apontando para a porção medial do corpo.
Característica do alinhamento varo do joelho
Se você tem joelhos em varo, “para fora”, aumenta o risco de artrose medial (região de dentro) do joelho. Além disso, uma vez que a artrose do joelho se desenvolve, é mais provável que ela aumente a incidência do problema, caso não seja tratado.
Isso ocorre porque um alinhamento em varo faz com que o eixo de suporte de carga da perna se desloque para dentro, causando mais estresse e força no compartimento medial (interno) do joelho.

Embora exista o risco maior de artrose do joelho com alinhamento em varo, se você estiver com sobrepeso ou obeso, o risco é substancialmente maior do que a média.
Além do peso, outro fator que aumenta o risco de osteoartrite do joelho é o grau de alinhamento em varo. Um grau mais alto (ou pior desalinhamento) significa uma maior probabilidade de desenvolver osteoartrite nos joelhos.
Características do alinhamento valgo do joelho
O joelho em valgo, quando estes se direcionam ao meio, também podem trazer problemas como a osteoartrite e outras patologias.
Isso ocorre porque um alinhamento em valgo desloca o eixo de suporte de carga para fora, causando aumento estresse em todo o compartimento lateral (externo) do joelho.

O alinhamento em valgo nem sempre é considerado tão grave quanto o alinhamento em varo. Ainda assim, ambas as condições colocam maior estresse nos joelhos, especialmente na cartilagem articular que cobre as superfícies ósseas.
É importante observar que, além de danificar a cartilagem articular e causar estreitamento do espaço articular, acredita-se que o desalinhamento do joelho também afete os meniscos, as “almofadas” da cartilagem na articulação entre os ossos.
Neste caso, acredita-se que o dano meniscal seja um fator de risco por si só para o desenvolvimento de osteoartrite.
No desalinhamento em valgo, o menisco lateral é afetado, enquanto no desalinhamento em varo, o menisco medial é afetado.
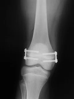
Como é o tratamento do geno varo e valgo?
Durante o crescimento, ambas as deformidades podem ser corrigidas pela inserção de grampos ósseos sobre a cartilagem de crescimento. O procedimento é denominado epifisiodese.
Em adultos com menos de 60 anos, existem opções como a osteotomia tibial valgizante para taratar o geno varo ou da femoral varizante para tratar o geno valgo.

Para pacientes que não podem ou não desejam passar por um procedimento mais agressivo, a técnica denominada subcondroplstia é uma opção segura e duradoura na maioria dos casos.
+ Subcondroplastia para tratamento de lesões cartilaginosas
E o pós-operatorio?
Após um procedimento de osteotomia, você precisará esperar de três a oito meses antes de voltar ao seu nível normal de atividade. Se esse período de recuperação parece assustador, lembre-se de que a cirurgia de substituição total do joelho, que é uma cirurgia de osteotomia e às vezes pode prevenir, geralmente requer até um ano de recuperação.
Confira esse video sobre o assunto:









Olá, tenho joelho varo, (da uns 5 cm), já operei o LCA de ambos e tenho um desgaste na cartilagem moderado, com isso tenho algumas dúvidas.
Tenho uma pequena instabilidade neles. Fortalecimento ajuda ?
Quais os melhores exercicios ?
Qual o melhor tenis para se usar ? Um medico me indicou tenis pronado, ja o outro uma palmilha que é o contrário.
Preciso necessariamente operar o varo ou posso tentar fortalecer primeiro p ver se melhora a instabilidade ?
Obrigado.
oi,Guilherme
Para te responder isso, precisaria te avaliar