E se eu te dissesse que a dor no seu joelho não fosse causada apenas pela artrose e “desgaste” da cartilagem, mas por algo que você pode mudar?
Apenas R$ 37,90
Mas a ciência mostra que existe um fator silencioso e, muitas vezes, ignorado, que pode estar piorando sua dor todos os dias: a fraqueza muscular. A musculatura ao redor do joelho desempenha um papel essencial na proteção da articulação e quando ela está enfraquecida, o impacto sobre o joelho aumenta significativamente.
Aqui te explicarei com base na ciência qual a relação entre artrose e fraqueza muscular, como fortalecer com segurança, quais são os melhores exercícios e o papel da medicina regenerativa no tratamento.

ARTROSE NO JOELHO E FRAQUEZA MUSCULAR: QUAL É A RELAÇÃO?
A relação entre artrose no joelho e fraqueza muscular é direta e bidirecional. Isso significa que:
- A artrose causa fraqueza muscular
- A fraqueza muscular piora a artrose
Esse é um dos pontos mais importantes para entender o tratamento.
POR QUE A FRAQUEZA MUSCULAR ACONTECE NA ARTROSE?
A fraqueza muscular ocorre por três fatores principais:
- Inibição muscular por dor
Quando o joelho dói, o corpo reduz automaticamente a ativação do músculo (principalmente o quadríceps). Esse mecanismo é chamado de inibição artrogênica do quadríceps.

- Redução da atividade física
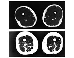
A dor leva ao sedentarismo, que provoca perda de massa muscular (sarcopenia).A imagem abaixo é de uma ressonância magnética que mostra a diferença entre a quantidade de massa muscular em uma pessoa praticante de atividade física (imagem superior) e de uma que não pratica (imagem inferior). A parte mais escura da imagem representa a massa muscular.


- Alteração do controle neuromuscular
O corpo perde eficiência na coordenação muscular, comprometendo a estabilidade do joelho.
Veja também:
O CICLO DA DOR: COMO A FRAQUEZA MUSCULAR PIORA A ARTROSE
Existe um ciclo muito comum na artrose no joelho:
- Dor no joelho → menos movimento
- Menos movimento → fraqueza muscular
- Fraqueza muscular → maior sobrecarga articular
- Maior sobrecarga → mais dor
Esse ciclo pode acelerar a progressão da doença se não for interrompido.
Aqui eu falo sobre “6 Maneiras de reverter a Fraqueza da Artrose”:
POR QUE FORTALECER O JOELHO É ESSENCIAL
O fortalecimento muscular é um dos tratamentos mais eficazes para a artrose. Os músculos atuam como um sistema de proteção do joelho:
- Absorvem impacto
- Reduzem carga na articulação
- Melhoram estabilidade
- Corrigem desalinhamentos
QUAIS MÚSCULOS DEVEM SER FORTALECIDOS?
Para tratar a artrose no joelho, não basta fortalecer apenas um músculo. É necessário trabalhar todo o conjunto muscular:
- Quadríceps: principal estabilizador do joelho

- Glúteos: controlam o alinhamento da perna

- Isquiotibiais: ajudam no controle do movimento

- Core: principais estabilizadores do centro do nosso corpo

- Panturrilha: contribui na absorção de impacto

O fortalecimento global melhora significativamente a função articular.
COMO FORTALECER O JOELHO COM ARTROSE
O fortalecimento deve ser progressivo e seguro.
Exercícios para iniciantes (com dor)
- Contração isométrica do quadríceps
- Elevação de perna estendida
- Ponte para glúteos

- Alongamentos leves
Exercícios intermediários
- Agachamento parcial
- Subida em degrau baixo
- Leg press leve
Exercícios avançados
- Agachamento completo
- Treino funcional
- Exercícios com carga progressiva
Neste vídeo eu explico sobre quais são os melhores exercícios: “Exercícios para Artrose: 5 erros que você comete – O último vai te surpreender!”:
PODE FAZER EXERCÍCIO COM DOR NO JOELHO?
Essa é uma das dúvidas mais comuns. A resposta é: sim, mas com orientação. Evitar movimento totalmente pode piorar a artrose. O ideal é:
- Ajustar intensidade
- Evitar impacto excessivo
- Fortalecer gradualmente
Mas o cenário ideal é primeiro tirar a dor, seja com infiltração articular ou outras técnicas para que haja execução adequada dos exercícios.
MEDICINA REGENERATIVA NA ARTROSE DO JOELHO
A medicina regenerativa tem ganhado destaque no tratamento da artrose. Atualmente fazemos infiltração articular para manejo da dor e diminuição da inflamação articular. As principais opções de infiltração são com:
PRP (Plasma Rico em Plaquetas)
- Reduz inflamação
- Estimula regeneração
Células-tronco
- Potencial regenerativo
- Ação anti-inflamatória
Ácido hialurônico
- Lubrificação da articulação
- Melhora da mobilidade
DICAS PRÁTICAS PARA QUEM TEM ARTROSE NO JOELHO
Se você tem artrose no joelho, algumas mudanças simples ajudam muito:
- Mantenha-se ativo
- Evite sobrepeso
- Alimente-se com alimentos saudáveis, evitando ultraprocessados e açúcares
- Pratique exercícios regularmente
- Procure orientação profissional
QUANDO PROCURAR UM ORTOPEDISTA
Procure ajuda se houver:
- Dor persistente no joelho
- Limitação para atividades diárias
- Inchaço frequente
- Sensação de instabilidade
O diagnóstico precoce melhora muito o prognóstico.
O MAIOR ERRO NO TRATAMENTO DA ARTROSE
O erro mais comum é parar de se movimentar. A falta de movimento:
- Aumenta a fraqueza muscular
- Piora a dor
- Acelera a progressão da doença
O CAMINHO MAIS INTELIGENTE PARA TRATAR A ARTROSE
O tratamento ideal da artrose no joelho envolve:
- Fortalecimento muscular
- Controle da dor
- Reeducação do movimento
- Terapias complementares
Essa abordagem integrada traz melhores resultados a longo prazo.
FORTALEÇA HOJE PARA VIVER MELHOR AMANHÃ
A artrose no joelho e a fraqueza muscular estão profundamente conectadas e entender isso muda completamente a forma de tratar a doença.
Fortalecer o músculo não é apenas uma recomendação: é uma estratégia essencial para reduzir dor, melhorar a função e recuperar qualidade de vida.
Se existe um passo que você pode começar hoje, é esse: movimente-se com consciência e fortaleça seu corpo.E se você quiser saber mais sobre o assunto, deixo como indicação o vídeo “6 Dicas para reverter a Fraqueza na Artrose!”:








