A artrose de quadril é uma doença altamente comum e pode ser bastante debilitante. A Viscossuplementação no quadril pode ser uma ótima alternativa de tratamento não-cirúrgico.
Apenas R$ 37,90
A artrite e/ou artrose é a doença mais comum no mundo. Estudos epidemiológicos mostram que a artrite e/ou artrose pode ocorrer na articulação da mão, joelho e quadril.
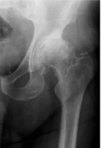
A artrose do quadril é uma das causas mais frequentes de artrose dos membros inferiores, resultando em um impacto negativo na qualidade de vida das pessoas, aumentando o risco de mortalidade e problemas cardiovasculares.
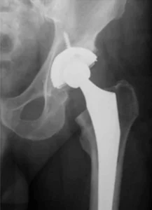
A substituição da articulação por uma prótese, que muitas vezes é a única solução para aliviar as dores nos estágios mais graves da artrose, tem aumentado nas últimas décadas.
Entretanto, nos pacientes com artrose de grau leve a moderado, ou naqueles que possuem alguma contraindicação para a realização do procedimento cirúrgico, existem algumas medidas que ajudam no controle da dor que inclui o uso de analgésico, antiinflamatório não esteroides, fisioterapia, injeções de corticóides intra-articulares e a viscossuplementação.
Nesse artigo você entenderá o que é a viscossuplementação, sua indicação e os seus resultados em pessoas que possuem artrose de quadril.
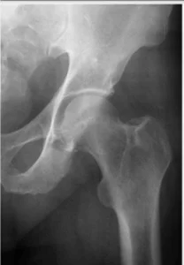
O que é a artrose no quadril?
A artrose é uma doença de origem multifatorial que leva à degeneração da cartilagem articular, afetando todos os componentes da articulação. É um processo lento, progressivo e incapacitante, com alta prevalência na população adulta.
Eu falei mais sobre isso, nesse vídeo. Clique nele para assistir.
O que é a viscossuplementação e como ela auxilia no tratamento da artrose?
Viscossuplementação consiste na injeção de uma solução de ácido hialurônico, com o objetivo de aliviar a dor e melhorar a função da articulação em pacientes com artrite e/ou artrose. O ácido hialurônico exerce um efeito protetor na cartilagem através da manutenção da lubrificação e da redução dos efeitos das forças de atrito dentro da articulação.
Leia também: Membrana de Colágeno- A regeneração da cartilagem
Quais as indicações para o uso da viscossuplementação no quadril?
A viscossuplementação é indicada no tratamento da artrite e/ou artrose, para a recuperação das propriedades do líquido sinovial, diminuição da dor e melhora da função da articulação. Sabe-se que os pacientes que mais se beneficiarão com esse tipo de tratamento são aqueles cuja doença é inicial (menor grau de artrose) e que utilizam mais ativamente as articulações.

Quais as marcas de ácido hialurônico disponíveis atualmente?
O ácido hialurônico é produzido por:
- Origem aviária: a partir de matéria-prima animal (crista de galo). Apresenta potencial alergogênico devido aos antígenos aviários. Produtos de origem aviária no mercado nacional: Polireumin e Synvisc.
- Origem não aviária, ou fermentado: por bactérias através da biofermentação, possuindo um menor potencial alergogênico. Produtos de origem não aviária no mercado nacional: Suplasyn, Formathron, Orthovisc, Osteonil e Viscoseal.
Neste vídeo, eu falei mais sobre este tema:
A viscossuplementação no quadril possui um efeito positivo na artrose?
Embora alguns estudos tenham mostrado que a injeção de ácido hialurônico pode fornecer benefícios terapêuticos para pacientes com artrose de quadril, o Colégio Americano de Reumatologia não recomenda o uso da viscossuplementação em pacientes com artrose de quadril. A viscossuplementação é realizada ambulatorialmente, e os resultados são bem estabelecidos apenas para a articulação do joelho, sendo ainda objeto de discussão para as outras articulações, nas quais a quantidade a ser aplicada e a frequência das aplicações irá depender das características do produto e da experiência do médico.



Quais informações são importantes saber antes de realizar a viscossuplementação?
- É fundamental ter em mente que o tratamento da artrose depende de vários fatores.
- As causas da artrose devem ser identificadas, bem como sua gravidade.
- O paciente deve ser educado sobre sua doença e estimulado a assumir um comportamento mais ativo durante o tratamento.
- A doença não tem cura, mas tem controle pela dieta, exercícios físicos para artrose e medicamentos.
Eu aprofundei mais sobre este tema, neste vídeo do meu canal no YouTube!









Muito boa a explica
Tenho problemas nos joelhos e , quero saber o valor da aplicação.
Tenho 78 anos, tenho artrose no quadril esquerdo e acredito que piorou a dor por ter praticado super ioga. Tenho sentido dor no joelho também e cerca de 3 semanas cai de costas, de uma banqueta e fiquei com dor na lombar. Além disso, tenho dor no pé esquerdo. Estou interessada em fazer tratamento com viscossuplementacao de ácido hialurônico. Quero informações sobre esse tratamento, qual o preço da sessão e a qtdade de sessões necessárias
Oi, Geni
Muito prazer.
Para agendar consulta e demais informações da minha clínica, o WhatsApp é (11) 93442-5190
Minha secretária Cláudia vai te ajudar a agendar consulta.
Será um prazer poder te atender.
Abraço