Apenas R$ 37,90
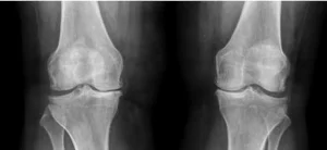
A artrose de joelho é uma doença que acomete uma porção considerável da população e demanda tratamentos específicos. Em muitos casos, até cirúrgicos. Mas quando a cirurgia para artrose de joelho é indicada? Como ela é feita e quais as técnicas?
Tudo depende do perfil do paciente e sempre é necessária uma avaliação individual. Sempre!
Pacientes com artrose de joelho com comprometimento progressivo da independência das atividades de vida diária, dor e falha do tratamento conservador devem ser indicados para a realização do tratamento cirúrgico.
As técnicas cirúrgicas indicadas para artrose no joelho, nesses casos são:
Artroscopia
O tratamento artroscópico pode variar desde a lavagem da articulação até procedimentos mais complexos que incluem a remoção da cartilagem danificada, remoção de fragmentos do menisco que possam ter-se desprendido e de corpos soltos dentro da articulação. Essa técnica é muito utilizada em pacientes com um grau de artrose leve a moderado.

Osteotomia

Técnica utilizada para corrigir o mau alinhamento ósseo e assim, aliviar a dor, através da transferência de carga de áreas danificadas na articulação para áreas mais saudáveis. Indicada para pacientes jovens e ativos, para que possam continuar com as suas atividades de alto impacto e/ou recreativas.
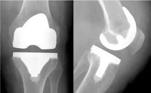
Prótese


Técnica utilizada para substituir a articulação danificada por uma prótese, ou seja, um implante em metal e polietileno. Esse procedimento é mais indicado quando o dano a cartilagem for irrecuperável, muito extenso e em pessoas com idade acima de 40 a 50 anos. Existem próteses de joelho parciais onde é substituído apenas um compartimento, ou seja, quando o desgaste é limitado apenas uma parte do joelho e próteses totais onde realiza a troca de toda a articulação (fêmur e tíbia).
Quais os riscos da cirurgia para artrose de joelho?
Os riscos da cirurgia para artrose do joelho são:
- Complicações durante a cirurgia ou relacionadas com a anestesia.
- Tromboembolismo através de trombose venosa profunda ou tromboembolismo venoso.
- Infecção, que apesar de rara é a complicação mais temível.

- Lesões arteriais.
- Lesões nervosas, levando a perda de sensibilidade e de força muscular.
Recuperação e reabilitação da cirurgia para artrose de joelho
Os objetivos da reabilitação após a cirurgia para artrose de joelho são o restabelecimento do movimento articular, da força muscular (principalmente do músculo anterior da coxa) e, finalmente, a função da articulação. A progressão da reabilitação é determinada pela técnica utilizada, sintomas da artrose no joelho, exame de imagem e a demanda de cada paciente. Na técnica de osteotomia, os pacientes são orientados a não sustentar o peso no lado operado nas primeiras semanas, já em pacientes submetidos à prótese de joelho, a sustentação de peso é liberada após a cirurgia. A reabilitação após o procedimento cirúrgico envolve uma abordagem de equipe multidisciplinar que requer comunicação ativa e frequente. Essa comunicação entre a equipe cirúrgica e da fisioterapia é essencial para uma recuperação bem-sucedida.
Medicina regenerativa para artrose de joelho
Atualmente, existem técnicas para o reparo da cartilagem do joelho em estágios iniciais que são:
Membrana de colágeno
Técnica desenvolvida recentemente no qual combina a técnica de microfratura, que é um tratamento de primeira linha, com a aplicação de uma matriz dupla-face de colágeno de origem suína (membrana de colágeno), que é fixada sobre a área lesionada usando, por exemplo, cola de fibrina e/ou fio de sutura reabsorvível.
Mosaicoplastia
Técnica bem estabelecida para reparar lesões da cartilagem do joelho. Pequenos pedaços de osso são retirados de uma área do joelho que não recebe muita carga, ou seja, de uma superfície sadia da articulação. O enxerto é auto-fixado na área da lesão por meio de um procedimento artroscópico minimamente invasivo.
Confira esse video sobre tratamento de artrose de joelho, para entender mais sobre o tema!









É correto ter luxação na panela após cirurgia?
Oi, Siria.
Absolutamente não
E recomendado cirurgia de joelho ,quando se tem artrose e muita dor.
Dependendo do caso, sim
Depende de avaliação médica
Minha ressonancia deu Osteofitos em fêmur, patela e tíbia, tenho sentido muita dor , será que vou ter que passar por cirurgia?
oi, Clarice
o laudo da ressonância é emitido por um medico radiologista e é a parte final do diagnostico.
O medico assistentente deve EXAMINAR, solicitar o exame de imagem, ver as imagens e , ai sim ver o laudo.
Portanto, na duvida, consulte uma 2.a opiniao.
Quando não se tem mais cartilagem no joelho tem que operar?